Ten artykuł stanowi kompleksowy przewodnik po procesie diagnostycznym bólu brzucha. Dowiesz się, jakie objawy powinny skłonić Cię do wizyty u lekarza, jakie badania są najczęściej zlecane i co każde z nich może wykryć, aby skutecznie zrozumieć sygnały wysyłane przez Twój organizm.
Ból brzucha kompleksowy przewodnik po badaniach diagnostycznych
- Proces diagnostyczny bólu brzucha zawsze rozpoczyna się od szczegółowego wywiadu lekarskiego i badania fizykalnego.
- Podstawowe badania laboratoryjne (morfologia, CRP, mocz) są często pierwszym krokiem w celu wykrycia stanów zapalnych czy problemów z układem moczowym.
- USG jamy brzusznej to nieinwazyjne badanie pierwszego wyboru, pozwalające ocenić wiele narządów wewnętrznych.
- W przypadku niejasnych objawów lub podejrzenia poważniejszych schorzeń, lekarz może zlecić bardziej precyzyjne badania obrazowe, takie jak tomografia komputerowa (TK) lub rezonans magnetyczny (MRI).
- Badania endoskopowe, takie jak gastroskopia czy kolonoskopia, są kluczowe w diagnostyce chorób przewodu pokarmowego i umożliwiają bezpośrednią ocenę wnętrza narządów.
Różne oblicza bólu: dlaczego charakter dolegliwości ma kluczowe znaczenie?
Kiedy doświadczamy bólu brzucha, jego charakter może być dla lekarza cenną wskazówką. To, czy ból jest kłujący, piekący, tępy, skurczowy, kolkowy, czy promieniujący, często naprowadza na pierwotną przyczynę dolegliwości. Na przykład, nagły, silny ból kolkowy może sugerować kamicę żółciową lub nerkową, podczas gdy piekący ból w nadbrzuszu często wiąże się z chorobą wrzodową. Tępy, rozlany ból może być oznaką stanu zapalnego. Dlatego tak ważne jest, aby podczas wywiadu lekarskiego opisać dolegliwości jak najdokładniej. Precyzyjne określenie, kiedy ból się pojawia, co go nasila, a co łagodzi, to klucz do postawienia trafnej wstępnej diagnozy i skierowania na odpowiednie badania.
Mapa bólu brzucha: co może oznaczać ból w konkretnym miejscu (prawy bok, lewy bok, nadbrzusze, podbrzusze)?
Lokalizacja bólu w jamie brzusznej jest jedną z pierwszych i najważniejszych informacji, które pomagają lekarzowi zawęzić obszar poszukiwań. Brzuch to obszar, w którym znajduje się wiele narządów, a ból w konkretnym miejscu często wskazuje na problem z określonym organem. Oto, co może oznaczać ból w poszczególnych rejonach:
- Ból w prawym górnym podżebrzu: Często związany z problemami z wątrobą (np. zapalenie, stłuszczenie) lub pęcherzykiem żółciowym (np. kamica żółciowa, zapalenie pęcherzyka). Może również wskazywać na problemy z prawą nerką.
- Ból w lewym górnym podżebrzu: Może świadczyć o dolegliwościach związanych z żołądkiem (np. wrzody, zapalenie), trzustką (np. zapalenie trzustki ból często promieniuje do pleców) lub śledzioną.
- Ból w nadbrzuszu: Zazwyczaj wskazuje na problemy z żołądkiem, dwunastnicą (np. choroba wrzodowa), przełykiem (np. refluks żołądkowo-przełykowy) lub trzustką.
- Ból w prawym dolnym rogu brzucha: Klasycznie kojarzony z zapaleniem wyrostka robaczkowego. U kobiet może wskazywać na problemy ginekologiczne (np. zapalenie przydatków, torbiel jajnika, ciąża pozamaciczna), a także na kamicę nerkową.
- Ból w lewym dolnym rogu brzucha: Może sugerować problemy z jelitem grubym (np. zapalenie uchyłków, choroba Leśniowskiego-Crohna, wrzodziejące zapalenie jelita grubego). U kobiet również może być związany z problemami ginekologicznymi.
- Ból w podbrzuszu: Często dotyczy pęcherza moczowego (np. zapalenie), jelita grubego (np. zespół jelita drażliwego, zaparcia) lub narządów rodnych u kobiet.
Czerwone flagi: objawy towarzyszące, których absolutnie nie można ignorować
Chociaż większość bólów brzucha jest łagodna i ustępuje samoistnie, istnieją objawy towarzyszące, które powinny wzbudzić nasz niepokój i skłonić do natychmiastowej konsultacji lekarskiej. Ignorowanie ich może prowadzić do poważnych konsekwencji zdrowotnych. Zwróć uwagę na:
- Silny, nagły ból: Szczególnie jeśli pojawił się gwałtownie i jest nieznośny, może wskazywać na ostry stan wymagający pilnej interwencji, np. perforację wrzodu, ostre zapalenie trzustki czy pęknięcie tętniaka.
- Gorączka: Ból brzucha połączony z wysoką gorączką często świadczy o poważnym stanie zapalnym lub infekcji, np. zapaleniu wyrostka robaczkowego, zapaleniu pęcherzyka żółciowego czy odmiedniczkowym zapaleniu nerek.
- Wymioty i biegunka: Jeśli są uporczywe, prowadzą do odwodnienia i osłabienia, lub towarzyszy im krew, należy pilnie szukać pomocy medycznej. Mogą wskazywać na ciężkie zatrucie pokarmowe, niedrożność jelit lub inne poważne schorzenia.
- Krew w stolcu lub wymiotach: Jakiekolwiek krwawienie z przewodu pokarmowego jest objawem alarmowym. Krew może być świeża (jasnoczerwona) lub strawiona (czarny, smolisty stolec melena). Wymaga natychmiastowej diagnostyki.
- Zatrzymanie gazów i stolca: Brak możliwości oddania gazów i stolca, szczególnie w połączeniu z narastającym bólem brzucha i wzdęciem, może świadczyć o niedrożności jelit, która jest stanem zagrożenia życia.
- Utrata masy ciała: Niewyjaśniona, znacząca utrata wagi w połączeniu z bólem brzucha to sygnał, którego absolutnie nie wolno lekceważyć, gdyż może wskazywać na proces nowotworowy lub przewlekłą chorobę zapalną jelit.

Pierwszy krok do diagnozy: czego spodziewać się w gabinecie lekarza rodzinnego
Kiedy ból brzucha staje się dokuczliwy lub niepokojący, pierwszym i najważniejszym krokiem jest wizyta u lekarza rodzinnego. To on, dzięki swojej wiedzy i doświadczeniu, przeprowadzi wstępną ocenę i zdecyduje o dalszej ścieżce diagnostycznej. Nie bagatelizuj tej wizyty to fundament skutecznego leczenia.
Wywiad lekarski: o co zapyta Cię lekarz i jak się przygotować do rozmowy?
Wywiad lekarski to podstawa. Lekarz będzie zadawał wiele pytań, aby jak najdokładniej zrozumieć Twoje dolegliwości. Będzie chciał wiedzieć:
- Lokalizacja bólu: Gdzie dokładnie boli? Czy ból promieniuje?
- Charakter bólu: Czy jest kłujący, piekący, tępy, skurczowy, kolkowy?
- Czas trwania bólu: Kiedy się zaczął? Czy jest stały, czy pojawia się i znika?
- Nasilenie bólu: W skali od 1 do 10, jak silny jest ból?
- Czynniki nasilające/łagodzące: Co pogarsza ból (np. jedzenie, ruch), a co go łagodzi (np. odpoczynek, leki)?
- Objawy towarzyszące: Czy masz gorączkę, nudności, wymioty, biegunkę, zaparcia, zgagę, wzdęcia, problemy z oddawaniem moczu?
- Historia medyczna: Czy cierpisz na inne choroby? Czy przyjmujesz na stałe jakieś leki? Czy miałeś/aś wcześniej podobne dolegliwości?
- Dieta i styl życia: Jak się odżywiasz? Czy pijesz alkohol, palisz papierosy?
Aby jak najlepiej przygotować się do rozmowy, polecam:
- Zbierz informacje o swoich objawach: Zapisz, kiedy ból się pojawił, jakiego jest rodzaju, gdzie boli, co mu towarzyszy. Im więcej szczegółów, tym lepiej.
- Przygotuj listę przyjmowanych leków: Wraz z dawkami i częstotliwością. Nie zapomnij o suplementach i ziołach.
- Zastanów się nad historią chorób w rodzinie: Niektóre schorzenia, np. choroby jelit czy nowotwory, mogą mieć podłoże genetyczne.
Badanie palpacyjne brzucha: co specjalista może "wyczuć" podczas badania?
Po wywiadzie lekarz przystąpi do badania fizykalnego, w tym palpacyjnego brzucha. To bardzo ważny element diagnostyki, który pozwala lekarzowi na wstępną ocenę stanu narządów wewnętrznych. Podczas badania palpacyjnego lekarz delikatnie, ale stanowczo uciska różne obszary brzucha, szukając:
- Tkliwości: Czy ucisk w danym miejscu wywołuje ból? To może wskazywać na stan zapalny.
- Oporów: Czy brzuch jest miękki, czy napięty? Napięcie może świadczyć o podrażnieniu otrzewnej.
- Powiększonych narządów: Czy wątroba, śledziona, nerki są wyczuwalne i powiększone?
- Nieprawidłowych mas: Czy wyczuwalne są guzy, torbiele lub inne nieprawidłowe struktury?
Badanie palpacyjne, choć czasem nieco niekomfortowe, jest nieocenione w szybkim zlokalizowaniu problemu i podjęciu decyzji o dalszych badaniach.
Podstawowy pakiet startowy: kiedy lekarz zleci badania krwi i moczu?
W większości przypadków, po wywiadzie i badaniu fizykalnym, lekarz rodzinny zleci podstawowe badania laboratoryjne. Są to zazwyczaj morfologia krwi obwodowej, białko C-reaktywne (CRP) oraz ogólne badanie moczu. Dlaczego akurat te?
- Morfologia krwi obwodowej: Pozwala ocenić ogólny stan zdrowia, wykryć anemię (która może być skutkiem krwawienia z przewodu pokarmowego) oraz wskazać na obecność stanu zapalnego (np. poprzez podwyższoną liczbę białych krwinek).
- CRP: Jest to marker stanu zapalnego. Podwyższony poziom CRP bardzo silnie sugeruje obecność infekcji lub stanu zapalnego w organizmie, co jest kluczową informacją przy bólu brzucha.
- Ogólne badanie moczu: Jest niezbędne do wykluczenia lub potwierdzenia problemów z układem moczowym, takich jak infekcje dróg moczowych, kamica nerkowa czy inne schorzenia nerek, które mogą objawiać się bólem brzucha.
Te wstępne badania często otwierają drogę do dalszych, bardziej szczegółowych analiz laboratoryjnych, o których opowiem w kolejnej sekcji.
Badania laboratoryjne bez tajemnic: co można wyczytać z krwi, moczu i kału
Badania laboratoryjne to nieocenione narzędzia w diagnostyce bólu brzucha. Pozwalają zajrzeć w głąb organizmu, ocenić funkcjonowanie narządów i wykryć stany zapalne, infekcje czy inne nieprawidłowości, które nie są widoczne gołym okiem. Jako Piotr Lewandowski, zawsze podkreślam, że to właśnie wyniki laboratoryjne często dostarczają kluczowych wskazówek.
Morfologia i CRP: jak wykryć stan zapalny i anemię?
Jak już wspomniałem, morfologia krwi obwodowej i poziom białka C-reaktywnego (CRP) to podstawy. Morfologia to kompleksowa analiza składników krwi. Zwracamy uwagę na:
- Liczbę białych krwinek (leukocytów): Ich podwyższony poziom (leukocytoza) jest silnym wskaźnikiem stanu zapalnego lub infekcji w organizmie.
- Liczbę czerwonych krwinek (erytrocytów), poziom hemoglobiny i hematokrytu: Obniżone wartości mogą świadczyć o anemii, która z kolei może być wynikiem przewlekłego krwawienia z przewodu pokarmowego (np. z wrzodów, polipów, nowotworów).
- Liczbę płytek krwi (trombocytów): Ich nieprawidłowe wartości mogą wskazywać na różne schorzenia, w tym stany zapalne.
CRP jest białkiem ostrej fazy, którego poziom gwałtownie wzrasta w odpowiedzi na stan zapalny. Nawet niewielkie infekcje czy stany zapalne w jamie brzusznej mogą spowodować jego podwyższenie. Jest to więc bardzo czuły i szybki marker, który pomaga lekarzowi ocenić, czy w organizmie toczy się proces zapalny.
Próby wątrobowe, amylaza, lipaza: kontrola pracy wątroby i trzustki
Gdy ból brzucha lokalizuje się w prawym górnym podżebrzu lub nadbrzuszu, lekarz często zleca badania oceniające pracę wątroby i trzustki:
- Próby wątrobowe (ALT, AST, GGTP, bilirubina): To panel enzymów i barwników, których podwyższone stężenie we krwi wskazuje na uszkodzenie komórek wątroby (ALT, AST) lub zastój żółci (GGTP, bilirubina). Mogą sygnalizować zapalenie wątroby, kamicę żółciową z zastojem, uszkodzenie wątroby przez leki czy alkohol.
- Amylaza i lipaza: To enzymy produkowane głównie przez trzustkę. Ich znacznie podwyższone poziomy we krwi są silnym wskaźnikiem ostrego zapalenia trzustki, które charakteryzuje się bardzo silnym bólem w nadbrzuszu, często promieniującym do pleców.
Badanie moczu: czy przyczyna bólu leży w układzie moczowym?
Ogólne badanie moczu to proste, ale bardzo cenne narzędzie diagnostyczne. Pozwala ocenić wiele parametrów, które mogą wskazywać na problemy z układem moczowym, a te często manifestują się bólem brzucha. W badaniu moczu zwraca się uwagę na:
- Obecność białka, glukozy, ciał ketonowych: Mogą wskazywać na choroby nerek lub cukrzycę.
- Obecność erytrocytów (krwiomocz): Może świadczyć o kamicy nerkowej, infekcjach, urazach lub nowotworach układu moczowego.
- Obecność leukocytów (ropomocz) i bakterii: Są silnym wskaźnikiem infekcji dróg moczowych, takiej jak zapalenie pęcherza moczowego lub odmiedniczkowe zapalenie nerek.
- pH moczu i ciężar właściwy: Pomagają w ocenie funkcji nerek i ryzyka kamicy.
Ból w podbrzuszu lub boku, połączony z pieczeniem przy oddawaniu moczu, często znajduje swoją przyczynę właśnie w wynikach tego badania.
Krew utajona i kalprotektyna w kale: kluczowe markery w diagnostyce jelit
W diagnostyce problemów jelitowych, zwłaszcza gdy podejrzewa się krwawienie lub stan zapalny, badania kału są niezastąpione:
- Badanie na krew utajoną w kale: Jest to badanie przesiewowe, szczególnie ważne w profilaktyce raka jelita grubego, zalecane regularnie po 50. roku życia. Wykrywa nawet śladowe ilości krwi, niewidoczne gołym okiem, które mogą świadczyć o krwawieniu z polipów, wrzodów, hemoroidów lub nowotworów w przewodzie pokarmowym.
- Kalprotektyna w kale: To białko uwalniane przez aktywowane neutrofile (rodzaj białych krwinek) w stanach zapalnych jelit. Jej podwyższony poziom jest bardzo ważnym markerem w diagnostyce i monitorowaniu chorób zapalnych jelit, takich jak choroba Leśniowskiego-Crohna czy wrzodziejące zapalenie jelita grubego. Pomaga odróżnić organiczne stany zapalne od czynnościowych zaburzeń, takich jak zespół jelita drażliwego (IBS), gdzie poziom kalprotektyny jest zazwyczaj w normie.

Zajrzeć do wnętrza brzucha: przewodnik po badaniach obrazowych
Gdy badania laboratoryjne dostarczą wstępnych informacji, ale nie dadzą pełnej odpowiedzi, lub gdy objawy są na tyle niepokojące, że wymagają wizualizacji, lekarz zleca badania obrazowe. Pozwalają one dosłownie "zajrzeć" do wnętrza brzucha i ocenić strukturę narządów. Moim zdaniem, to właśnie postęp w technikach obrazowania zrewolucjonizował diagnostykę wielu schorzeń.
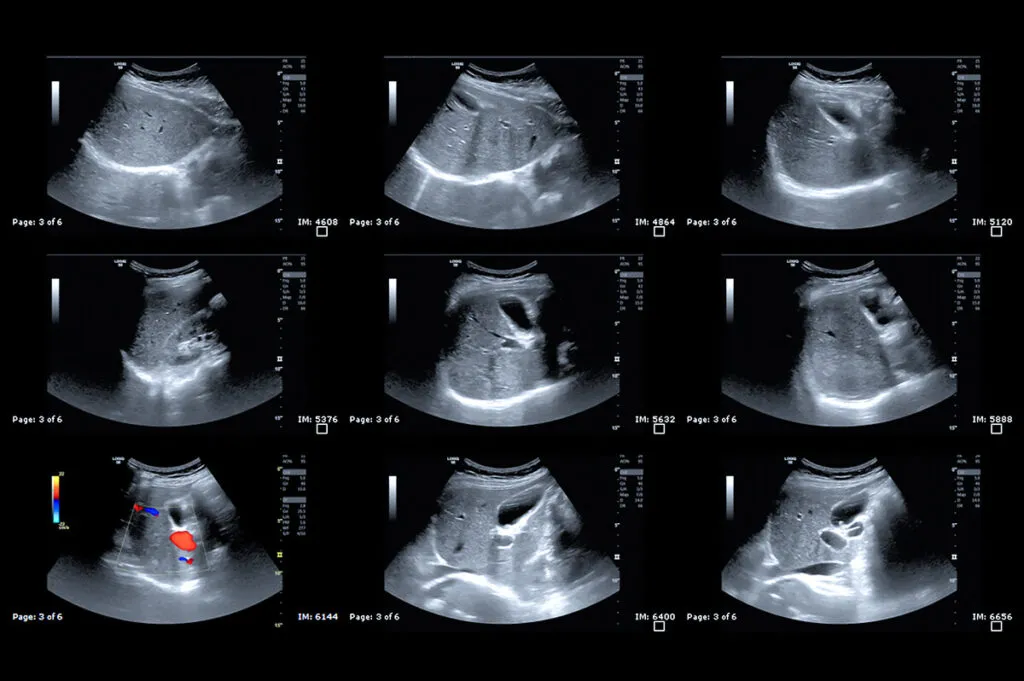
USG jamy brzusznej: dlaczego jest to badanie pierwszego wyboru i co może wykryć?
Ultrasonografia (USG) jamy brzusznej jest badaniem pierwszego wyboru z kilku kluczowych powodów: jest nieinwazyjna, bezbolesna, bezpieczna (nie wykorzystuje promieniowania jonizującego), szeroko dostępna i stosunkowo tania. Pozwala na dynamiczną ocenę wielu narządów w czasie rzeczywistym. Podczas USG lekarz może ocenić:
- Wątrobę: Jej wielkość, strukturę, obecność zmian ogniskowych (torbiele, guzy), stłuszczenie.
- Pęcherzyk żółciowy i drogi żółciowe: Obecność kamicy żółciowej, cechy zapalenia pęcherzyka, poszerzenie dróg żółciowych.
- Trzustkę: Jej wielkość, strukturę, obecność zmian zapalnych (np. w ostrym zapaleniu trzustki), torbieli czy guzów.
- Śledzionę: Jej wielkość i strukturę.
- Nerki i pęcherz moczowy: Wielkość, kształt, obecność kamieni nerkowych, torbieli, guzów, zaleganie moczu w pęcherzu.
- Duże naczynia krwionośne: Takie jak aorta brzuszna (może wykryć tętniak aorty).
- Wyrostek robaczkowy: W przypadku podejrzenia zapalenia wyrostka robaczkowego, USG może uwidocznić jego powiększenie i cechy zapalenia.
- Narządy rodne u kobiet: Może wykryć torbiele jajników, mięśniaki macicy czy inne patologie.
USG jest więc niezwykle wszechstronnym narzędziem, które często pozwala na szybkie postawienie diagnozy lub ukierunkowanie dalszej diagnostyki.
Tomografia komputerowa (TK): kiedy potrzebna jest większa precyzja?
Gdy USG nie daje jednoznacznych odpowiedzi, lub gdy sytuacja kliniczna jest bardziej złożona, lekarz może zlecić tomografię komputerową (TK) jamy brzusznej. TK wykorzystuje promieniowanie rentgenowskie do tworzenia szczegółowych, przekrojowych obrazów narządów wewnętrznych. Jest szczególnie przydatna w sytuacjach, gdy potrzebna jest większa precyzja, np.:
- W stanach nagłych: Takich jak urazy brzucha, podejrzenie perforacji przewodu pokarmowego, niedrożności jelit czy krwawienia wewnętrznego. TK pozwala szybko zlokalizować problem i zaplanować leczenie.
- W diagnostyce onkologicznej: Do wykrywania i oceny rozległości guzów, przerzutów, a także do monitorowania skuteczności leczenia.
- Gdy USG jest niewystarczające: Na przykład u osób otyłych, u których gaz w jelitach utrudnia badanie ultrasonograficzne, lub gdy potrzebna jest dokładniejsza ocena trzustki, jelit czy przestrzeni zaotrzewnowej.
TK często wykonuje się z podaniem kontrastu dożylnego, co pozwala na lepsze uwidocznienie naczyń krwionośnych i zmian patologicznych.
Rezonans magnetyczny (MRI): najdokładniejszy obraz narządów wewnętrznych
Rezonans magnetyczny (MRI) to najbardziej zaawansowane badanie obrazowe, które nie wykorzystuje promieniowania jonizującego, lecz silne pole magnetyczne i fale radiowe. Dzięki temu jest niezwykle bezpieczne i oferuje najwyższą rozdzielczość obrazu tkanek miękkich. MRI jest stosowane, gdy inne badania nie dają jednoznacznych wyników lub gdy potrzebna jest bardzo szczegółowa ocena:
- Narządów miąższowych: Takich jak wątroba, trzustka, nerki MRI doskonale różnicuje zmiany ogniskowe, torbiele, guzy i ocenia ich charakter.
- Dróg żółciowych i trzustkowych (cholangiografia MR MRCP): Pozwala na nieinwazyjną wizualizację dróg żółciowych i przewodu trzustkowego, co jest kluczowe w diagnostyce kamicy, zwężeń czy guzów.
- W diagnostyce zmian nowotworowych: MRI jest często wykorzystywane do oceny stopnia zaawansowania nowotworów i planowania leczenia, zwłaszcza w przypadku wątroby, trzustki czy miednicy.
- W ocenie chorób zapalnych jelit: Może pomóc w ocenie aktywności choroby Leśniowskiego-Crohna czy wrzodziejącego zapalenia jelita grubego.
MRI jest badaniem czasochłonnym i wymaga od pacjenta pozostawania w bezruchu w wąskiej tubie, co dla niektórych może być wyzwaniem, jednak jego precyzja jest nieoceniona.
Gdy przyczyna leży głębiej: kiedy konieczne są badania endoskopowe
W niektórych przypadkach, aby postawić ostateczną diagnozę, konieczne jest bezpośrednie obejrzenie wnętrza przewodu pokarmowego. Właśnie do tego służą badania endoskopowe. Choć dla wielu pacjentów brzmią one niepokojąco, są niezwykle skuteczne i często pozwalają na jednoczesne pobranie próbek do badania histopatologicznego. Jako lekarz, zawsze staram się wyjaśnić pacjentom, że korzyści z tych badań znacznie przewyższają chwilowy dyskomfort.
Gastroskopia: jak wygląda badanie żołądka od środka i czy jest się czego bać?
Gastroskopia, zwana również panendoskopią, to badanie endoskopowe górnego odcinka przewodu pokarmowego. Polega na wprowadzeniu cienkiego, elastycznego endoskopu (rurki z kamerą i źródłem światła) przez usta, przełyk, do żołądka i dwunastnicy. Pozwala to lekarzowi na bezpośrednią ocenę błony śluzowej tych narządów.
Wskazania do gastroskopii to m.in.:
- Bóle w nadbrzuszu: Szczególnie te przewlekłe, nawracające.
- Zgaga i refluks: Gdy leczenie farmakologiczne nie przynosi efektów.
- Podejrzenie choroby wrzodowej: Gastroskopia pozwala na wizualizację wrzodów i pobranie próbek.
- Krwawienie z górnego odcinka przewodu pokarmowego: Wymioty z krwią, smoliste stolce.
- Podejrzenie zakażenia *Helicobacter pylori*: Możliwe jest pobranie wycinka do testu ureazowego.
- Trudności w połykaniu, niewyjaśniona utrata masy ciała.
Wielu pacjentów obawia się tego badania, głównie ze względu na odruch wymiotny. Jednak współczesne techniki i podejście do pacjenta minimalizują dyskomfort. Przed badaniem gardło znieczula się sprayem znieczulającym, a na życzenie pacjenta (i po kwalifikacji) możliwe jest wykonanie badania w sedacji (tzw. "głupim jasiu") lub nawet w znieczuleniu ogólnym. Dzięki temu badanie jest znacznie bardziej komfortowe, a pacjent często nie pamięta jego przebiegu. Nie ma się czego bać, to rutynowa procedura ratująca zdrowie.
Kolonoskopia: złoty standard w diagnostyce jelita grubego wskazania i przygotowanie
Kolonoskopia to badanie endoskopowe całego jelita grubego, od odbytu aż do zastawki krętniczo-kątniczej. Jest to złoty standard w diagnostyce raka jelita grubego oraz chorób zapalnych jelit. Endoskop (kolonoskop) jest wprowadzany przez odbyt, a lekarz ogląda wnętrze jelita na monitorze.
Wskazania do kolonoskopii obejmują:
- Niewyjaśnione krwawienia z dolnego odcinka przewodu pokarmowego: Świeża krew w stolcu.
- Zmiana rytmu wypróżnień: Przewlekłe biegunki, zaparcia, naprzemienne biegunki i zaparcia.
- Ból brzucha o niejasnej przyczynie: Szczególnie w dolnych partiach brzucha.
- Podejrzenie chorób zapalnych jelit: Choroba Leśniowskiego-Crohna, wrzodziejące zapalenie jelita grubego.
- Dodatni wynik badania na krew utajoną w kale.
- Profilaktyka raka jelita grubego: Zalecana u osób po 50. roku życia lub wcześniej w grupach ryzyka (np. historia rodzinna).
Kluczowym elementem kolonoskopii jest odpowiednie przygotowanie jelita. Bez niego badanie jest niemożliwe lub niediagnostyczne. Przygotowanie obejmuje:
- Dieta przed badaniem: Zazwyczaj przez 2-3 dni przed badaniem należy unikać pokarmów z drobnymi pestkami (np. truskawki, kiwi), surowych warzyw i owoców, pieczywa razowego. Dzień przed badaniem dieta powinna być płynna (bulion, kisiel, klarowne soki).
- Stosowanie środków przeczyszczających: Lekarz przepisze specjalne preparaty, które należy wypić zgodnie z instrukcją, zazwyczaj w dwóch dawkach wieczorem przed badaniem i rano w dniu badania. Celem jest całkowite oczyszczenie jelita.
- Nawodnienie: Podczas przygotowania należy pić duże ilości płynów (wody, herbaty), aby uniknąć odwodnienia.
Czy te badania bolą? Wszystko o znieczuleniu i komforcie pacjenta
Obawy przed bólem i dyskomfortem podczas badań endoskopowych są naturalne. Moim zadaniem jest zapewnienie, że współczesna medycyna dąży do maksymalnego komfortu pacjenta. Zarówno gastroskopia, jak i kolonoskopia mogą być nieprzyjemne, ale rzadko są bolesne w sposób nie do zniesienia, zwłaszcza przy zastosowaniu odpowiednich metod znieczulenia.
- Znieczulenie miejscowe: Przy gastroskopii stosuje się znieczulenie gardła sprayem, co zmniejsza odruch wymiotny.
- Sedacja (tzw. "głupi jaś"): Jest to najczęściej wybierana opcja. Pacjent otrzymuje dożylnie leki uspokajające i przeciwbólowe, które wprowadzają go w stan płytkiego snu. Pacjent jest świadomy, ale zrelaksowany, często nie pamięta badania. Po sedacji konieczne jest, aby ktoś odebrał pacjenta i zapewnił mu opiekę w domu.
- Znieczulenie ogólne: W niektórych przypadkach, szczególnie u pacjentów z dużym lękiem, chorobami współistniejącymi lub gdy badanie jest szczególnie trudne, można wykonać je w pełnym znieczuleniu ogólnym pod nadzorem anestezjologa. Pacjent nic nie czuje i nic nie pamięta.
Wybór metody znieczulenia zawsze powinien być omówiony z lekarzem prowadzącym i anestezjologiem. Ważne jest, aby nie rezygnować z badań z powodu strachu przed bólem istnieją skuteczne sposoby na jego zminimalizowanie.
Od diagnozy do leczenia: co dalej po otrzymaniu wyników badań
Otrzymanie wyników badań to ważny moment, ale to dopiero początek drogi. Kluczowe jest zrozumienie, co te wyniki oznaczają i jakie kroki należy podjąć dalej. Moim zdaniem, aktywna postawa pacjenta w tym momencie jest niezwykle cenna.
Jak interpretować wyniki i o co pytać lekarza?
Wyniki badań laboratoryjnych czy obrazowych mogą być dla laika niezrozumiałe, pełne skrótów i wartości referencyjnych. Absolutnie nie próbuj samodzielnie stawiać sobie diagnozy na podstawie internetowych wyszukiwarek! To rola lekarza, który ma pełen obraz Twojego stanu zdrowia, historii chorób i wszystkich wyników. Umów się na wizytę kontrolną, aby omówić wyniki. Przygotuj sobie listę pytań, które warto zadać specjaliście, aby w pełni zrozumieć diagnozę i dalsze kroki leczenia:
- Co oznaczają moje wyniki? Poproś o wyjaśnienie w prosty sposób, co jest w normie, a co odbiega od niej i dlaczego.
- Jaka jest diagnoza? Czy udało się ustalić przyczynę bólu brzucha?
- Jakie są dostępne opcje leczenia? Czy będzie to leczenie farmakologiczne, zmiana diety, a może konieczny będzie zabieg?
- Czy potrzebuję dalszych badań? Jeśli tak, to jakich i w jakim celu?
- Jak mogę złagodzić objawy w międzyczasie? Czy są jakieś doraźne metody, które mogę zastosować?
- Jakie są rokowania? Czego mogę się spodziewać w perspektywie krótko- i długoterminowej?
- Kiedy i w jaki sposób mam się ponownie skontaktować z lekarzem?
Nie bój się zadawać pytań. To Twoje zdrowie, masz prawo do pełnej informacji.
Przykładowe ścieżki diagnostyczne: od objawu do rozpoznania (np. kamica pęcherzykowa, zapalenie wyrostka, IBS)
Aby zilustrować, jak przebiega proces diagnostyczny, przedstawię kilka uproszczonych przykładów:
-
Ból w prawym górnym podżebrzu: Pacjent zgłasza kolkowy ból po tłustym posiłku.
→ Lekarz zleca USG jamy brzusznej.
→ USG wykrywa kamienie w pęcherzyku żółciowym.
→ Rozpoznanie: Kamica pęcherzykowa. Dalsze leczenie to zazwyczaj usunięcie pęcherzyka żółciowego. -
Nagły, silny ból w prawym dolnym rogu brzucha, gorączka, nudności:
→ Lekarz wykonuje badanie palpacyjne, stwierdza tkliwość w punkcie McBurneya. Zleca morfologię krwi (podwyższone leukocyty, CRP).
→ W razie wątpliwości wykonuje się USG jamy brzusznej (uwidacznia powiększony, zmieniony zapalnie wyrostek).
→ Rozpoznanie: Ostre zapalenie wyrostka robaczkowego. Konieczna pilna operacja. -
Przewlekłe bóle brzucha, wzdęcia, biegunki/zaparcia, bez objawów alarmowych:
→ Lekarz wyklucza poważne schorzenia, zlecając morfologię, CRP, badania kału (krew utajona, kalprotektyna wyniki w normie).
→ Po wykluczeniu innych chorób organicznych i na podstawie charakterystycznych objawów.
→ Rozpoznanie: Zespół jelita drażliwego (IBS). Leczenie polega na modyfikacji diety, zarządzaniu stresem i farmakoterapii objawowej.
Przeczytaj również: Ból kości, stawów i swędzenie skóry: Kiedy to sygnał alarmowy?
Znaczenie profilaktyki: jakie badania warto wykonywać regularnie, by uniknąć problemów?
Nie mogę zakończyć tego artykułu bez podkreślenia ogromnego znaczenia profilaktyki. Wiele poważnych chorób, w tym nowotwory, wykrytych we wczesnym stadium, jest w pełni uleczalnych. Regularne badania kontrolne to inwestycja w Twoje zdrowie. Oto kilka przykładów:
- Badanie na krew utajoną w kale: Zalecane jest regularnie (np. co 1-2 lata) u osób po 50. roku życia, jako badanie przesiewowe w kierunku raka jelita grubego.
- Kolonoskopia: Jeśli w rodzinie występowały przypadki raka jelita grubego, kolonoskopię należy wykonać wcześniej i powtarzać ją regularnie zgodnie z zaleceniami lekarza. Jest to najskuteczniejsza metoda wczesnego wykrywania i usuwania polipów, które mogą przekształcić się w nowotwór.
- Regularne badania krwi i moczu: Podstawowe badania laboratoryjne, takie jak morfologia, CRP, badanie moczu, wykonywane raz w roku, mogą wcześnie zasygnalizować wiele problemów zdrowotnych.
- USG jamy brzusznej: U osób w grupach ryzyka (np. z chorobami wątroby, trzustki) lub po prostu profilaktycznie, co kilka lat, może pomóc w wykryciu zmian, zanim zaczną dawać objawy.
Pamiętaj, że zdrowie to nie tylko brak choroby, ale także aktywne dbanie o swoje ciało i umysł. Nie lekceważ sygnałów wysyłanych przez Twój organizm i regularnie konsultuj się z lekarzem.
